OrthoScan, Inc. - холдинговая компания, занимающаяся разработкой и производством оборудования для ортопедической хирургии. Компания была основана Ларри Гроссманом в 2002 году, ее штаб-квартира находится в Скоттсдейле, штат Аризона.

Задайте вопрос нашим специалистам
Телефон: 8 (800) 555-73-87
E-mail: info@medeq.ru
Состояние

Нет в продаже

Арт. 107768
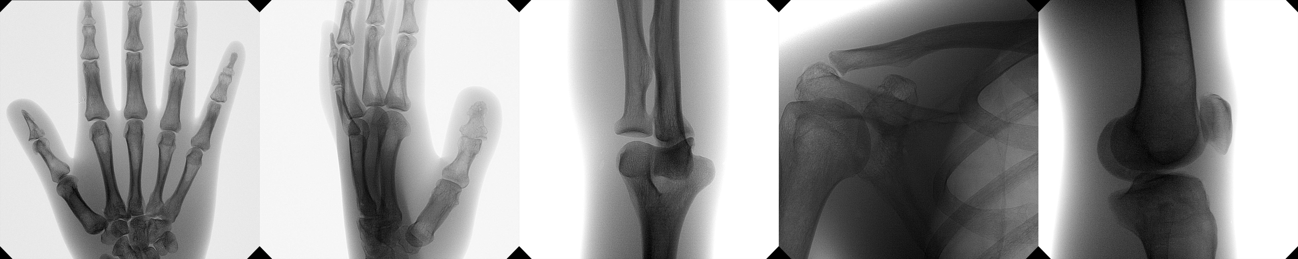
Mobile DI
Mobile DI
Mobile DI
Mobile DI

Orthoscan Mobile DI

С-дуги
Нет в продаже
Арт. 110420
TAU
TAU
TAU
TAU
TAU
TAU
TAU
TAU

Orthoscan TAU

С-дуги
Нет в продаже