
















Voluson E8 в новом корпусе, с новым железом, новыми технологиями
Voluson Signature 20 — современная ультразвуковая система от GE HealthCare, созданная для специалистов, которым важны точность, стабильность и эффективность диагностики. Система сохраняет всё лучшее от модели Signature 18, но дополнена функцией SlowflowHD, обеспечивающей визуализацию микрокровотока, и монокристальным конвексным датчиком C1-6-D для более высокой чувствительности на глубине
В основе аппарата — архитектура Voluson Unity, объединяющая высокопроизводительное аппаратное обеспечение и программную платформу с масштабируемыми клиническими модулями. Signature 20 демонстрирует плавное изображение в реальном времени, высокую кадровую частоту и стабильное качество при исследовании пациентов с различными анатомическими особенностями.
Voluson Signature 20 сохраняет ключевые технологии, знакомые по модели Signature 18, но дополнен рядом функций, повышающих диагностическую информативность.
Монокристальный конвексный датчик C1-6-D обеспечивает более высокую чувствительность и глубину проникновения, сохраняя отличное пространственное разрешение даже на больших глубинах. Это особенно важно при обследовании пациенток с высоким ИМТ или при оценке состояния органов малого таза и плода во втором и третьем триместрах.
Технология SlowflowHD — новое решение для оценки микрокровотока. Она отображает слабые, медленные потоки в мельчайших сосудах, помогая видеть структуру плаценты, хориона, сосудов мозга плода и эндометрия без использования контраста. SlowflowHD даёт врачу дополнительный уровень детализации, позволяя выявлять васкуляризацию даже в сложных клинических случаях.
Система также использует фирменные алгоритмы визуализации:
Технология SlowflowHD применяется для исследования матки и яичников, головного мозга плода, плаценты
Signature оснащён интеллектуальными инструментами SonoLyst™, которые распознают органы и структуры плода, автоматически проставляют измерения и метки, сокращая время стандартных исследований.
SonoLystlive анализирует изображение в реальном времени, оценивая полноту визуализации по протоколу ISUOG. SonoLystIR работает в режиме остановленного кадра, помогая уточнить результаты и избежать пропусков при документировании. SonoCNS автоматизирует измерения головного мозга, а SonoFetalHeart — ключевые показатели сердечной анатомии.
Для гинекологической практики доступны модули SonoGYN и Fibroid Mapping, которые автоматически формируют коронарные срезы матки и 3D-карту миоматозных узлов. Врач получает точные объёмы и пространственное расположение узлов для планирования терапии.
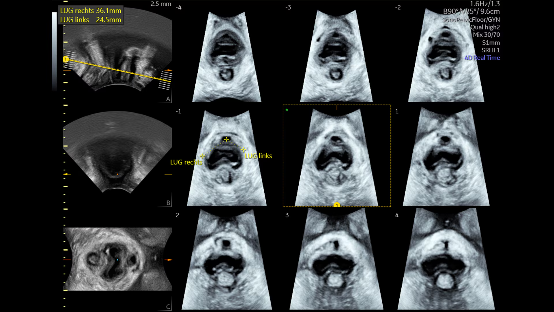
SonoPelvicFloor оптимизирует исследование тазового дна: система автоматически выравнивает плоскости, измеряет углы и расстояния, создавая воспроизводимые результаты при каждом обследовании.
SonoLystlive в режиме реального времени отмечает визуализированные органы и структуры плода, отслеживает прогресс исследования и помогает врачу соблюдать стандарты ISUOG без необходимости ручной проверки
SonoGYN распознаёт контуры полости и миоматозных образований, создаёт их пространственную модель и позволяет оценить взаиморасположение узлов для планирования лечения и документирования
SonoPelvicFloor автоматически выравнивает плоскости и измеряет ключевые параметры, позволяя объективно оценивать функцию тазового дна и динамику его изменений после родов или хирургического вмешательства
Voluson Signature сокращает количество ручных действий и ускоряет работу врача. Алгоритмы Flow Profiles автоматически подбирают параметры цветового и импульсного допплера для конкретных сосудов, поддерживая чёткое и стабильное отображение потока. Инструмент Spine Trace помогает быстро получить 3D-изображение позвоночника плода: достаточно обвести контур — система сама формирует объёмную модель с детализированной визуализацией позвонков.
Оптимизированный интерфейс Signature 20 позволяет выполнять исследования до на 25% быстрее, чем в предыдущих поколениях систем. В сочетании с интеллектуальными подсказками и автоматическими пресетами это снижает нагрузку при потоковой работе и повышает воспроизводимость результатов.
Voluson Signature унаследовал эргономику серии Expert. 23,8-дюймовый безрамочный монитор и Большой сенсорный экран обеспечивают точное управление и комфортное отображение. Консоль регулируется по высоте и наклону, поддерживает три активных порта для датчиков (четвертый порт доступен как опция) и возможность подключения беспроводного датчика Vscan Air™.
Система работает тихо, легко адаптируется под индивидуальные привычки врача и поддерживает голосовое управление “Hey, Voluson”, что особенно удобно при стерильных манипуляциях.
Аппарат доступен к заказу у официального дистрибьютора MEDEQ. Мы обеспечиваем поставку, установку и обучение персонала. Чтобы уточнить стоимость, сроки и комплектацию, оставьте заявку на сайте medeq.ru.

