






Новая флагманская модель в линейке стационарных систем Mindray
УЗИ аппарат Mindray Resona R9 — премиальная ультразвуковая система, созданная для врачей, которым нужна точная диагностика, стабильность и уверенность в каждом исследовании. Она является решением для клинической практики, где важны скорость, воспроизводимость и высокая информативность.
Аппарат построен на платформе ZONE Sonography Technology (ZST+), которая анализирует сигналы на уровне каналов и формирует изображения с предельно высокой детализацией. Это позволяет видеть мельчайшие структуры внутренних органов, сосудов и тканей, улучшая интерпретацию и точность исследования.
Платформа ZST+ разработана Mindray на базе технологий, унаследованных от компании Zonare Medical Systems, Inc., признанного лидера в сфере ультразвуковых решений премиум-класса. Mindray усовершенствовала архитектуру зонного сканирования, создав систему, обеспечивающую более точную визуализацию и эффективную обработку данных в любых клинических условиях.
Технология зонного сканирования формирует изображение не построчно, а по зонам, что значительно сокращает время сбора данных. Такой подход позволяет точно отображать анатомические движения и гемодинамику, снижает количество артефактов и обеспечивает стабильное качество визуализации при любых режимах и у всех категорий пациентов.
Каждый пиксель изображения находится в фокусе, благодаря чему сохраняется высокая однородность и детализация без снижения частоты кадров. Врачу не нужно тратить время на настройку фокуса — система автоматически обеспечивает оптимальное качество изображения по всей глубине сканирования, включая сложные случаи общей визуализации.
Функция Sound Speed Compensation адаптирует скорость распространения ультразвуковой волны под структуру тканей. Это повышает пространственное и контрастное разрешение, особенно у пациентов с жировым гепатозом или при абдоминальных исследованиях. Компенсация искажений улучшает чёткость дальнего поля и качество визуализации более глубоких органов.
Система сохраняет полный набор ультразвуковых данных, что позволяет ретроспективно изменять параметры и оптимизировать изображение без повторного сканирования. Это особенно ценно при анализе динамики патологических изменений и в исследовательских целях, где важна точность и сопоставимость данных.
УЗИ аппарат Mindray Resona R9 объединяет технологии, разработанные для задач прецизионной визуализации и интервенционных процедур. Аппарат обеспечивает точное воспроизведение структуры тканей, стабильную работу с мельчайшими деталями и автоматизацию рутинных измерений в различных сценариях применения.
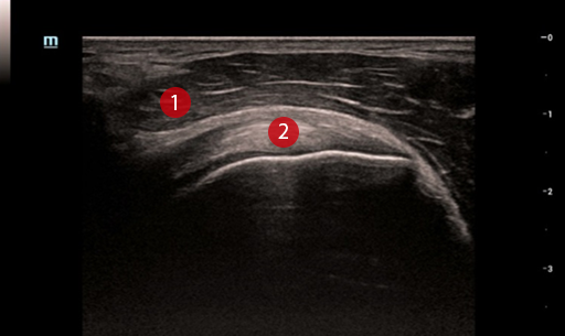
Новый алгоритм iClear+ устраняет спекл-шум и улучшает соотношение сигнал/шум, что делает картинку чище и контрастнее. Технология особенно полезна при работе с линейными датчиками и при исследовании молочных желёз. Resona R9 обеспечивает качественную визуализацию без артефактов, позволяет лучше различать структуру мышц и сухожильных волокон и получать детальную информацию о мягких тканях.
Плечевой сустав в режиме iClear+
UMA (Ultra Micro Angiography) визуализирует микрососудистый кровоток без использования контрастных веществ. Метод позволяет оценивать микроциркуляцию, отслеживать васкуляризацию образований и проводить динамическое наблюдение за изменениями сосудистой сети. На Resona R9 доступны режимы cUMA, pUMA, sUMA, а также их трёхмерные комбинации — UMA + 3D и UMA + Glazing Flow, что обеспечивает реалистичное 3D-отображение сосудистого русла.
Микродопплеровское картирование показывает разветвлённую структуру сосудов почки без применения контраста
USAT (Ultrasound Attenuation Analysis Tool) оценивает степень стеатоза по коэффициенту затухания ультразвука в тканях печени. Анализ выполняется автоматически: система выбирает область интереса и проводит одно- или многократные измерения с усреднением результатов. Такой подход делает оценку стеатоза объективной и воспроизводимой.
Метод количественного анализа затухания ультразвуковой волны позволяет объективно определить содержание жира в печени. Автоматически рассчитывается коэффициент затухания и индекс RLB, отражающий степень стеатоза
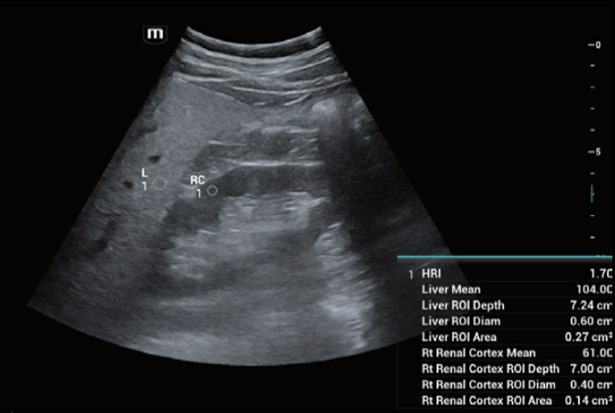
Функция Smart HRI автоматически определяет область печени и коркового слоя почек, устанавливает контрольные окна и рассчитывает коэффициент яркости ткани. Метод позволяет быстро и неинвазивно оценить степень стеатоза на основе гепаторенального индекса, снижая субъективность и экономя время врача.
Система определяет участки печени (L) и коркового слоя почки (RC), автоматически устанавливает области интереса и рассчитывает соотношение яркости тканей для количественной оценки степени стеатоза
M-Reference совмещает данные компрессионной и сдвиговой эластографии на одном экране в режиме реального времени. Врач может одновременно оценивать жёсткость и инфильтрацию тканей, что повышает точность интерпретации и делает исследование мультипараметрическим.
Совмещенное отображение данных компрессионной и сдвиговой эластографии в реальном времени позволяет количественно оценить жёсткость и инфильтрацию образования, обеспечивая мультипараметрический анализ для более точной диагностики
Технология Hi-Res STE доступна только на Resona R9 и обеспечивает сдвиговую эластографию с высоким пространственным разрешением — до 2 мм. Уменьшенная область контроля даёт более точную картину жёсткости тканей и подходит для выявления микрокальцинатов или проведения прицельной биопсии.
Контрастная визуализация на Mindray Resona R9 реализована с помощью технологий UWN+, Plane-Wave CEUS, Micro Flow Enhancement и HiFR CEUS. Эти режимы обеспечивают высокую частоту кадров и точное отображение микрососудистого русла. Врач получает возможность различать доброкачественные и злокачественные образования, оценивать перфузию, микроциркуляцию и характер васкуляризации.
Автоматизированные инструменты упрощают повседневную работу. Smart Breast автоматически классифицирует и формирует отчёт по BI-RADS на основе четырёх плоскостей, повышая точность и скорость обследований. Режим Silence Scan снижает акустическое давление до 44%, уменьшая дискомфорт пациента и повышая стабильность результатов при длительных процедурах.
Эти функции делают систему удобной для врача, обеспечивая не только высокую информативность исследований, но и комфортную работу даже при высокой нагрузке.
Сравнение изображений в В-режиме и при контрастировании. Режим CEUS позволяет оценить перфузию и васкуляризацию очага, уточнить характер образования и границы поражения
Аппарат поддерживает новые датчики, среди которых новый высокоплотный линейный датчик L15-3WU (256 элементов) из композитных пьезоматериалов, рекомендуемый как основной при конфигурации аппарата (имеет низкий вес, обеспечивает высокую разрешающую способность и поддерживает все доступные на аппарате дополнительные режимы визуализации для исследований поверхностно расположенных органов и сосудов)
Кроме него появились такие датчики:
SD8-1U — объемный монокристальный конвексный датчик для 4D;
P8-2U — обновленный педиатрический секторный датчик;
P7-3TU и P8-2Ts — новые чреспищеводные секторные датчики.
Контрастная визуализация на Mindray Resona R9 реализована с помощью технологий UWN+, Plane-Wave CEUS, Micro Flow Enhancement и HiFR CEUS. Эти режимы обеспечивают высокую частоту кадров и точное отображение микрососудистого русла. Врач получает возможность различать доброкачественные и злокачественные образования, оценивать перфузию, микроциркуляцию и характер васкуляризации. Автоматизированные инструменты упрощают повседневную работу.
Smart Breast автоматически классифицирует и формирует отчёт по BI-RADS на основе четырёх плоскостей, повышая точность и скорость обследований. Режим Silence Scan снижает акустическое давление до 44%, уменьшая дискомфорт пациента и повышая стабильность результатов при длительных процедурах.
Эти функции делают систему удобной для врача, обеспечивая не только высокую информативность исследований, но и комфортную работу даже при высокой нагрузке.
Компания MEDEQ — официальный дистрибьютор Mindray Medical в России. Мы поставляем и обслуживаем премиальные решения, включая Mindray Resona R9. Аппарат доступен к заказу в Москве и по всей стране, с установкой, обучением персонала и сервисной поддержкой. Перед покупкой ознакомьтесь с офертой на сайте medeq.ru и полным перечнем характеристик оборудования.

