












Топовый аппарат в линейке аппаратов Samsung для женского здоровья
Hera Z20 — это современная ультразвуковая система класса premium, разработанная компанией Самсунг для точных и воспроизводимых диагностических исследований в акушерстве, гинекологии и смежных областях. Она основана на архитектуре Crystal Architecture, которая объединяет технологии формирования и обработки сигнала CrystalBeam, CrystalLive и интеллектуальные датчики S-Vue. Такой подход обеспечивает стабильную детализацию и высокое разрешение изображения на всех глубинах — от поверхностных структур до внутренних органов.
В основе Hera Z20 лежит цифровая обработка сигнала на уровне каналов, что обеспечивает точную реконструкцию даже при сложной акустике. Эти технологии делают Hera Z20 универсальным инструментом для визуализации сосудистых структур, оценки перфузии, диагностики патологии плода и состояния матки. Система подходит для рутинных, экспертных и интервенционных исследований, включая навигацию при инвазивных процедурах.
Функции MV-Flow и LumiFlow позволяют отображать кровоток в трёхмерном представлении, выделяя мельчайшие сосуды без артефактов и шумов.
Алгоритмы Luminant и ShadowHDR компенсируют тени и повышают контраст в труднодоступных областях, а CrystalVue и RealisticVue формируют объёмное изображение с высокой пространственной точностью и реалистичным освещением.
В Samsung Medison Z20 реализованы решения на базе искусственного интеллекта, сокращающие время сканирования и повышающие воспроизводимость.
Live ViewAssist автоматически распознаёт органы и структуры во время исследования, добавляет аннотации и оптимизирует настройки изображения в реальном времени
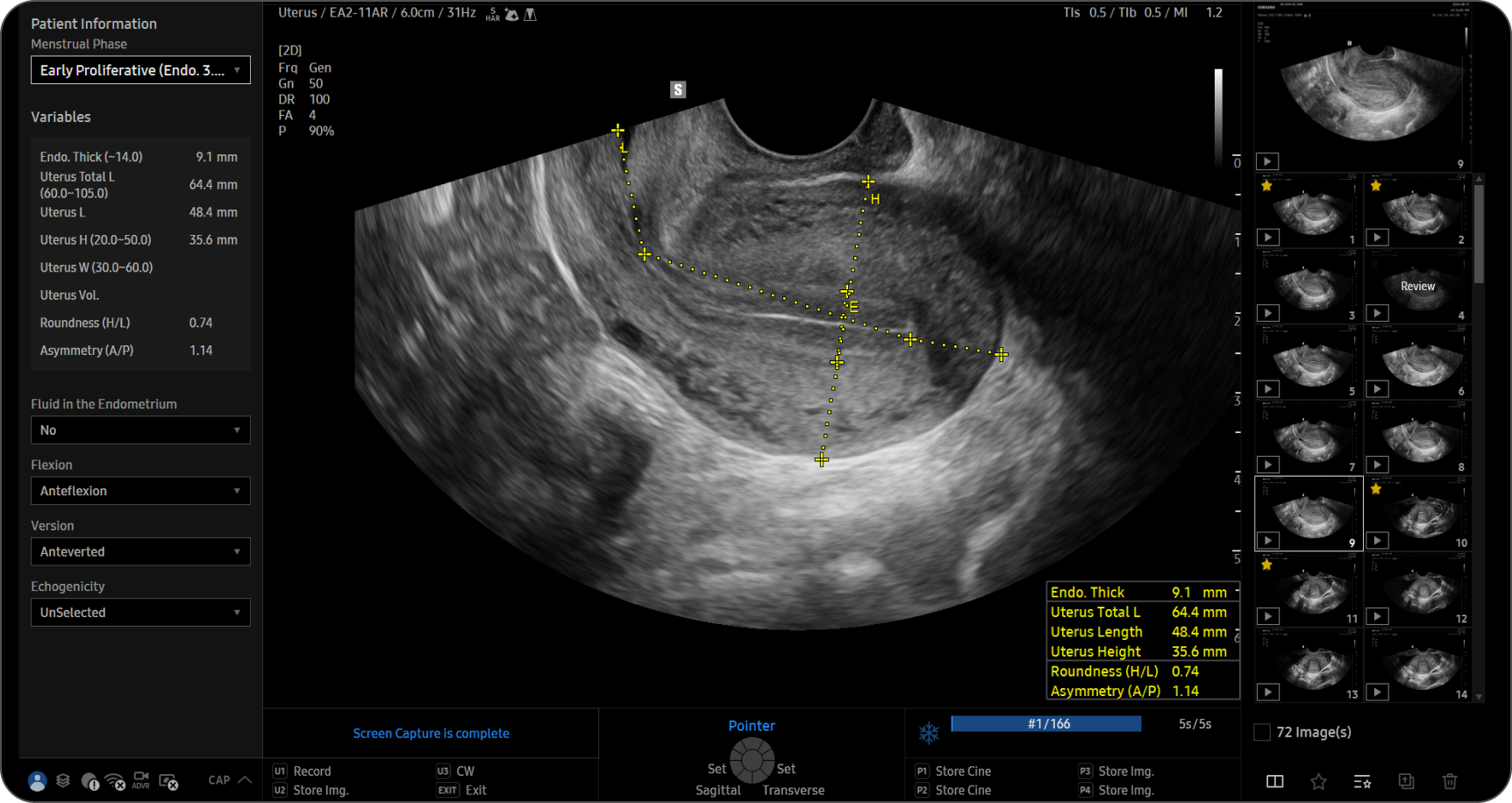
Модули UterineAssist и UterineContour выполняют автоматическую реконструкцию матки и выделение контуров, помогая точно оценить морфологию и деформации
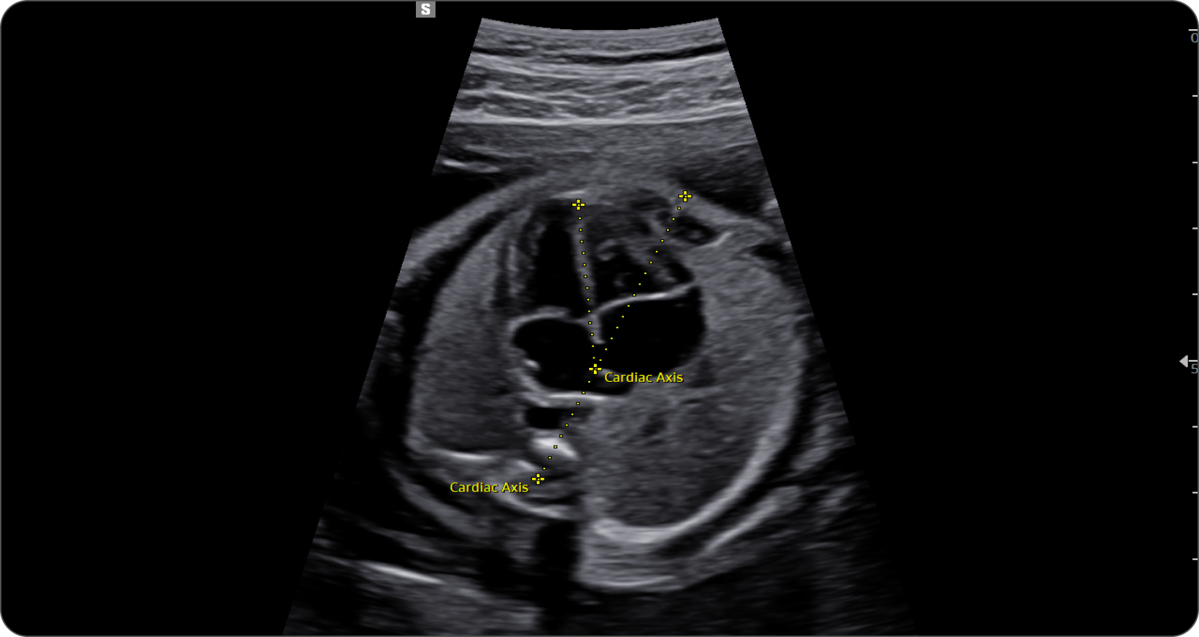
Инструмент HeartAssist анализирует сердечные камеры и измеряет функциональные параметры без ручного ввода
В режиме 3D EzVolume система автоматически сегментирует структуры плода и формирует объёмное изображение с возможностью изменения прозрачности и контраста
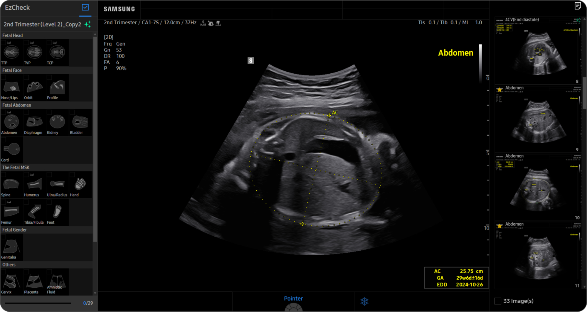
Новая технология BiometryAssist, основанная на Deep Learning, выполняет автоматические биометрические измерения параметров роста плода одним нажатием. Она обеспечивает стабильность результатов и снижает влияние человеческого фактора, помогая врачу сохранить воспроизводимость данных даже при потоковой работе
Samsung Z20 охватывает полный спектр задач — от репродуктивной медицины до перинатального мониторинга. Эти инструменты стандартизируют результаты и позволяют получать количественные показатели для последующего анализа, что особенно важно при сравнении динамики.
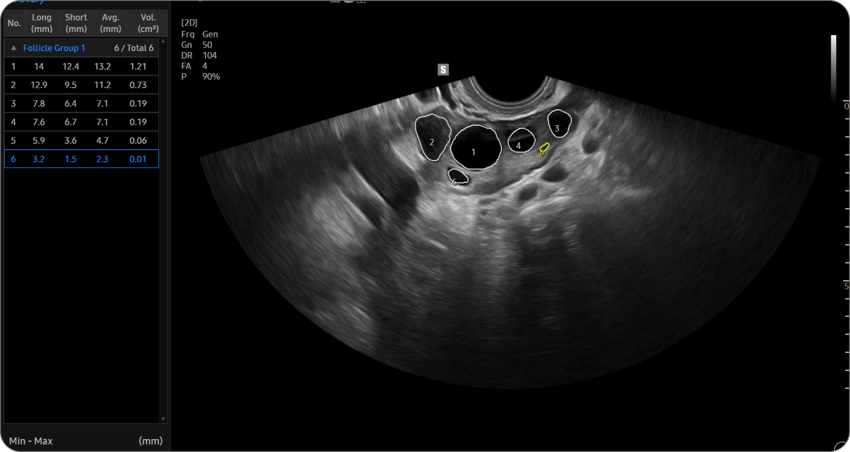
Для этапа планирования и оценки фертильности доступны инструменты 2D Follicle, 5D Follicle и UterineAssist, обеспечивающие точный подсчёт и измерение фолликулов.
2D Follicle — функция, которая автоматически измеряет размеры фолликулов на основании двумерного изображения и предоставляет информацию о состоянии яичников в ходе контролируемой стимуляции овуляции
В акушерстве и фетальной медицине система предлагает автоматизированные модули 5D CNS+, 5D Heart Color, MPI+, LaborAssist и E-Cervix.
LaborAssist — инструмент, который автоматически измеряет угол продвижения (AoP) и направление головки плода, помогая объективно оценить динамику родов. Функция упрощает взаимодействие между врачом и пациенткой и поддерживает клиническое принятие решений в соответствии с рекомендациями ISUOG
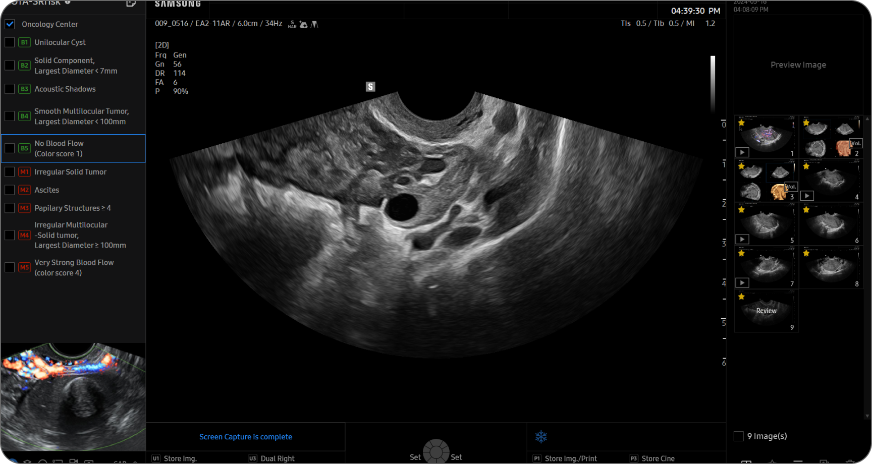
Для гинекологии и маммологии доступны S-Detect for Breast и алгоритмы IOTA-SRrisk / IOTA-ADNEX для оценки риска злокачественности новообразований.
IOTA-SRrisk — модуль, использующий модель Simple Rules Risk (SRrisk) международной группы IOTA. Он рассчитывает вероятность злокачественности образований яичников на основе признаков Simple Rules и типа медицинского центра, помогая врачу принимать обоснованные клинические решения
Аппарат УЗИ Samsung модели Z20 спроектирован как рабочая станция для интенсивного использования. Большой 27-дюймовый OLED-монитор с поворотом на 360° обеспечивает отличную видимость под любым углом, а 15,6-дюймовый сенсорный экран даёт возможность управлять функциями одним касанием.
Регулируемая по высоте и углу консоль адаптируется под любое рабочее положение, а бесшумная система охлаждения делает работу комфортной даже при длительных исследованиях.
Функция MyHERA сохраняет индивидуальные профили пользователей, включая пресеты, макеты клавиатуры, цветовую схему и параметры визуализации.
Hera Z20 интегрируется в инфраструктуру медицинских учреждений и поддерживает защищённую передачу данных в DICOM-сети. Функция SonoSync™ позволяет в реальном времени делиться изображением и видео с другими специалистами, использовать аннотации и подключаться к сканеру дистанционно. Это решение подходит для обучения, консультаций и удалённого контроля качества.
Система также поддерживает облачные сервисы и возможность централизованного обновления программного обеспечения, что делает её удобной частью цифровой экосистемы медицинского оборудования.
Новая линейка датчиков S-Vue обеспечивает широкую полосу частот и повышенную чувствительность.
Матричный конвексный датчик CMV1–10 улучшает качество визуализации при глубоком сканировании органов малого таза и брюшной полости. Благодаря лёгкому корпусу и эргономичной текстуре рукоятки снижается утомляемость руки при длительных процедурах
Samsung Medison модели Z20 доступен к заказу у официального дистрибьютора MEDEQ. Мы обеспечиваем поставку, установку, ввод системы в эксплуатацию и обучение персонала. Каждая поставка сопровождается гарантией, сервисным обслуживанием и адаптацией программных настроек под специфику клиники. Чтобы узнать стоимость, сроки и комплектацию, оставьте заявку на сайте medeq.ru или свяжитесь с менеджерами компании.

