
















GE Revolution Maxima — компьютерный томограф компании GE Healthcare, входящей в группу General Electric Healthcare. Этот аппарат — хорошее решение для клиник, которым нужна высокая производительность и стабильное качество получения изображений. Пространственное разрешение системы достигает 0,28 мм. Детектор с покрытием 40 мм обеспечивает широкий охват по оси Z и позволяет получать тонкие срезы при исследованиях различных структур тела.
В системе применяются передовые технологии реконструкции, интеллектуальный анализ данных и автоматизация ключевых этапов исследования. Благодаря алгоритму ASiR-V возможно снижение лучевой нагрузки до 82% при сохранении высокого уровня диагностики.
Модель Maxima разработана для широкого спектра клинических задач и поддерживает исследования сосудов, костных структур, грудной клетки, органов брюшной полости и головного мозга.
В Revolution Maxima реализованы функции, которые ускоряют подготовку и проведение КТ.
Эти инструменты позволяют выполнять томографию быстрее и повышают стабильность рабочего процесса.
В GE Revolution Maxima используется технология автоматического определения положения пациента. Камера X-Stream создает трехмерную модель тела и с помощью алгоритмов машинного обучения анализирует геометрию сканируемой области.
После этого ПО автоматически рассчитывает центр зоны сканирования. Атоматическое позиционирование снижает влияние человеческого фактора и уменьшает ошибки на ранних этапах исследования, а также такое точное позиционирование упрощает работу оператора и сокращает время исследования.
Процесс подготовки выглядит следующим образом:
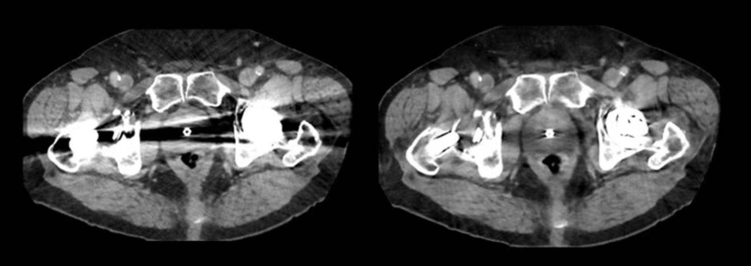
В клинической практике металлические конструкции часто создают выраженные артефакты на КТ изображениях. Это может затруднять оценку окружающих тканей и снижать информативность томографии. В системе реализована технология Smart MAR (Metal Artifact Reduction), предназначенная для уменьшения артефактов от металлических объектов при выполнении исследования.
Алгоритм анализирует данные реконструкции и корректирует области, где возникают искажения из-за высокоплотных материалов. В результате уменьшается выраженность полосовых артефактов и улучшается визуализация анатомических структур рядом с имплантами и протезами.
Smart MAR уменьшает выраженность полосовых артефактов, сохраняя структурную детализацию костей и мягких тканей. Слева без MAR, справа с MAR
В компьютерном томографе Revolution модели Maxima используется технология TrueFidelity DL, основанная на алгоритмах глубокого обучения. Она применяет глубокую нейронную сеть (Deep Neural Network) для реконструкции КТ-изображений и формирования снимков высокой четкости. Алгоритм анализирует исходные данные сканирования и формирует изображения с высокой детализацией и низким уровнем шума при той же лучевой нагрузке.
Традиционный метод реконструкции
Итерационная реконструкция с уменьшением шума на 40%
Реконструкция на основе глубокого обучения TrueFidelity DL
Revolution Maxima включает набор специализированных клинических решений, предназначенных для выполнения различных типов КТ-исследований. Благодаря реконструкции с матрицей 1024 × 1024 формируются изображения высокого разрешения, на которых хорошо различимы мелкие анатомические структуры. Это важно при ангиографических исследованиях, оценке коронарных артерий, сосудов шеи и периферических артерий.
Smart Cardiac предназначен для кардиологических исследований. Функция помогает быстро и воспроизводимо настраивать параметры сканирования для процедур, связанных с оценкой коронарных артерий и других структур сердца. Это упрощает подготовку сложных кардиологических исследований и делает результаты более стабильными при повторных обследованиях.
Smart Stroke используется при обследовании пациентов с подозрением на инсульт. Протоколы включают перфузионные исследования с применением shuttle-сканирования, что позволяет оценивать состояние мозгового кровообращения и быстро получать данные для клинической оценки состояния пациента.
Дополнительно доступны инструменты Advanced Visualization — алгоритмы постобработки изображений и Imaging Protocol Manager — система централизованного управления протоколами сканирования и их синхронизации между КТ-установками. Это программное обеспечение дает возможность стандартизировать исследования и оптимизировать выполнение процедур.
Для мониторинга состояния рентгеновской трубки компьютерный томограф GE Revolution Maxima использует систему Tube Watch. Она анализирует параметры нагрузки и прогнозирует возможный износ.
Алгоритмы используют цифровую модель оборудования и помогают заранее планировать сервисные работы. Это поддерживает стабильные условия эксплуатации медицинского оборудования.
Компьютерный томограф GE Revolution Maxima — это вариант исполнения системы КТ, разработанный компанией GE Healthcare. Компания MEDEQ поставляет этот товар, а также может подобрать другое необходимое медицинское оборудование, дополнительные принадлежности и расходные материалы.
Мы работаем с проектами по оснащению радиологического отделения и помогаем получить оптимальный вариант исполнения оборудования. Подробное описание, техническая информация и параметры системы доступны на сайте medeq.ru. Специалисты подберут оптимальную конфигурацию для обеспечения максимальной эффективности ваших исследований.

