С-дуги Электрон

Фильтры
1
Цена
от до
Состояние
Тип детектора
Тип излучения
Сбросить все
Производитель: Электрон
Арт. 103396
СРТ
СРТ
СРТ
СРТ
СРТ
СРТ

Электрон СРТ

С-дуги
Цена по запросу

Современную лучевую диагностику невозможно представить без высокотехнологичного оборудования, соответствующего требованиям безопасности и гарантирующего максимальную достоверность исследования. Сегодня значительная часть диагностической информации получается с помощью рентгенологических методов, поэтому так важно оснащать кабинеты и отделения передовыми комплексами, расширяющими возможности медицины.

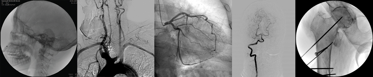
Рентгеновский аппарат типа С-дуга – современное диагностическое оборудование, предназначенное для проведения рентгеноскопических и рентгенографических исследований, а также для осуществления интервенционных процедур под лучевым контролем. Название устройства связано с характерной формой штатива в виде буквы «C», на одном конце которого расположена система, воспринимающая рентгеновское излучение, а на другом – трубка-излучатель.

Область применения

Такие установки используются практически во всех отраслях современной медицины: в травматологии, ортопедии, урологии, абдоминальной хирургии, интервенционных процедурах, ретроградной холангиопанкреатографии. Открытая конструкция и специфическая форма делают С-дугу незаменимым инструментом в операционной и в диагностических отделениях благодаря созданию беспрепятственного доступа к телу пациента. 

В нашем каталоге представлены аппараты ведущих зарубежных и отечественных брендов: Philips, Siemens, MS Westfalia, Italray, Амико, МТЛ и др. Цену на С-дуги уточняйте у наших менеджеров.

Особенности и варианты комплектации

Типовой комплекс включает в себя:

  • изоцентрический штатив, установленный на мобильном основании;
  • плоский детектор;
  • моноблок с рентгеновской трубкой;
  • медицинский монитор.

В зависимости от производителя и класса аппаратов комплектация и функциональные возможности могут быть расширены опциями: рентгенопрозрачным столом-каталкой, лазерной системой наведения, устройством измерения дозы на площадь, термопринтером, дополнительными сенсорными мониторами, выносными пультами управления типа джойстик, различными режимами (усиления рентгеновского изображения, сниженной лучевой нагрузки, 3D-визуализации) и др.

Преимущества рентгена С-дуга

  • Выполнение позиционирования с высокой степенью точности и безопасности с минимальными временными затратами благодаря сбалансированной конструкции штатива;
  • Мощность установки позволяет получать снимки высокого качества без искажений и артефактов, используя минимальное количество контраста;
  • Оптимальный баланс между качеством изображений и дозой излучения;
  • Возможность проведения исследований тучных пациентов за счет большого анатомического охвата С-дуги.

Как купить оборудование?

Компания Медэк занимает одну из лидирующих позиций по продажам медицинского и косметологического оборудования. В нашем интернет-магазине вы найдете все необходимое для оснащения вашего рентген-кабинета или отделения.

Купить рентгеновский аппарат типа С-дуга можно на сайте Medeq или по телефону. Менеджеры Mедэк рассчитают стоимость с учетом требуемых опций, будут сопровождать вас на протяжении всех этапов покупки. Осуществляем монтаж, гарантийное и сервисное обслуживание. Производим доставку по Москве, Московской области и всей России. Приобретайте аппараты типа С-дуга по выгодной цене у проверенного поставщика.